Điều trị u nguyên bào mạch máu não (Hemangioblastoma) bằng dao gamma quay

Ngày đăng: 18/03/2013 Lượt xem 6613
Điều trị u nguyên bào mạch máu não (Hemangioblastoma) bằng dao gamma quay

                                   PGS. TS. Mai Trọng Khoa, ThS Nguyễn Thanh Hùng
                       Trung tâm Y học hạt nhân và Ung bướu-Bệnh viện Bạch Mai

U nguyên bào mạch máu (Hemangioblastoma: HB) là bệnh hiếm gặp được Cushing và Bailey phát hiện năm 1928, là khối u lành tính cao phát triển chậm của hệ thống thần kinh trung ương. Theo tổ chức Y tế thế giới (WHO: World Health Organization) về phân loại khối u thần kinh trung ương thì HB được phân loại như các khối u màng não có nguồn gốc không rõ ràng. U nguyên bào mạch máu được phát hiện nhiều ở các vùng của hệ thần kinh trung ương, phổ biến là hay gặp ở thân não, tiểu não và tủy sống, hiếm gặp ở rễ thần kinh hoặc thần kinh ngoại vi, chiếm 7- 10% khối u phát triển ở vùng hố sau của não người lớn và chiếm 2- 4% khối u vùng nội sọ. Khối u phát triển thường chậm và các u tiểu não thường được gọi là khối u Lindau bởi vì khoảng 20- 30% khối u này phát triển trong bệnh cảnh Von Hippel Lindau (VHL) do nhà nghiên cứu bệnh học người Thụy Điển mô tả lần đầu vào năm 1926.

Vị trí thường gặp khác của HB là tủy sống chiếm 7- 11% khối u vùng tủy sống. Ngoài việc phát triển ở thần kinh trung ương thì u nguyên bào mạch máu có thể biểu hiện ở các mạch máu võng mạc, ung thư biểu mô tế bào thận, u nang tuyến tụy và các khối u thần kinh nội tiết, tuy nhiên hiếm gặp hơn.
 


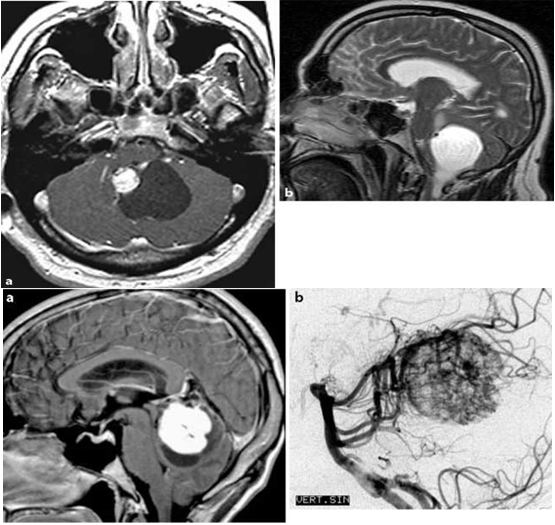
Hình 1: Các vị trí thường gặp của hemangioblastom thường gặp trên lâm sàng.
(A): Hemangioblastoma vùng tiểu não trên hình ảnh cắt dọc và cắt ngang của MRI sọ não.
(B): Hemangioblastoma tái phát ở vùng hố sau trên MRI sọ não và phim chụp mạch não (DSA).

 

Hình 2: Hình ảnh u nguyên bào mạch máu cột sống.



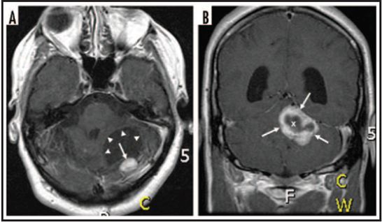
Hình 3: Các loại khác nhau của HB trên MRI sọ não (xung T1).
(A): U nang liên kết của Hemangiomblastoma vùng cầu não
(B): U đặc Hemangiomblastoma vùng tiểu não

 U nguyên bào mạch máu thần kinh trung ương thường gặp là hình ảnh dạng u nang liền kề hoặc dạng ống trong tủy sống, vùng hố sau hoặc vùng não thất 4 gây chèn ép lưu thông dịch não tủy gây ra một hội chứng tăng áp lực nội sọ trên lâm sàng. Vì vậy triệu chứng lâm sàng của HB thường phụ thuộc vị trí giải phẫu và tốc độ phát triển khối u bao gồm các dấu hiệu lâm sàng như: Rối loạn thăng bằng (thường hay gặp u vùng tiểu não), đau đầu, chóng mặt, liệt nửa người, động kinh, mạch chậm, tăng huyết áp do tăng áp lực nội sọ. Trường hợp Hemangioblastom vùng tủy sống có thể gây nên các triệu chứng như: co cứng cột sống, đau cột sống, yếu cột sống, rối loạn cảm giác theo kiểu phân đoạn, rối loạn cơ tròn, bí tiểu… Trường hợp nặng (khối u > 1,5 cm) có thể vỡ gây chảy máu não, tủy sống hoặc chảy máu dưới nhện, bệnh nhân sẽ rơi vào bệnh cảnh lâm sàng của xuất huyết não, tăng áp lực sọ não, nguy cơ tử vong rất cao. Hemangioblastom của võng mạc có thể không có triệu chứng trong nhiều năm, thông thường các triệu chứng thị giác như nhấp nháy hoặc co giật cục bộ ở mi mắt do các lõ dò thứ phát từ các mạch máu nhỏ của tổ chức mô Hb, dẫn đến tổn thương thủy tinh thể và võng mạc: bông thủy tinh thể, phá vỡ võng mạch, dịch tiết lipid và phù điểm vàng, nếu HB lớn có thể phá vỡ võng mạc hoặc tụ dịch giữa các lớp tiếp nhận ánh sáng gây nên mù.

 CÁC PHƯƠNG PHÁP ĐIỀU TRỊ

-          Phẫu thuật: Do tính chất u nguyên bào mạch máu não thường ở các vị trí thân não, tiểu não hay vùng hố sau vì vậy chỉ định phẫu thuật thường hẹp, các nhà phẫu thuật thần kinh thường cân chắn kỹ lưỡng giữa hiệu quả và biến chứng do quá trình phẫu thuật xâm lấn hộp sọ, bởi vì nguy cơ tử vong cao đối với các thủ thuật vào vùng nguy hiểm này.

-          Nội khoa: Cho đến nay điều trị bằng thuốc không được áp dụng đối với u nguyên bào mạch máu não đã được chứng minh. Điều trị nội khoa thường để giải quyết vấn đề triệu chứng của bệnh.

-          Xạ trị: Trên thế giới đã áp dụng phương xạ phẫu định vị (Stereotactic Radiosurgery (SRS)) điều trị HB đã trở thành phổ biến nhiều thập niên trước đã mang lại nhiều thành công đáng kể, đặc biệt là phương pháp xạ phẫu bằng dao gamma (GK: GammaKnife). Việc áp dụng xạ phẫu bằng dao gamma đã phát triển mạnh ở Thụy Điển, Mỹ, Pháp, Nhật Bản…đã mở ra một kỷ nguyên mới trong điều trị bệnh lý sọ não nói chung và u nguyên bào mạch máu não nói riêng, tỷ lệ biến chứng ít, thời gian điều trị nhanh, không cần gây mê, bệnh nhân xuất viện sớm, hiệu quả đạt được cao. Các nghiên cứu trước đây chứng minh tỷ lệ kiểm soát tại chổ bằng phương pháp xạ phẫu bằng dao gamma HB thành công là khá cao 83- 100%, nhưng hiệu quả lâu dài thì chưa có con số cụ thể, bởi vì việc đánh giá hiệu quả của phương pháp này đòi hỏi một quá trình theo dõi lâu dài.

Tại Việt Nam, Trung tâm Y học hạt nhân và ung bướu - Bệnh viện Bạch Mai là cơ sở đầu tiên trong cả nước cũng như trong các nước trong khu vực châu Á ứng dụng thành công hệ thống xạ phẫu bằng dao gamma quay trong điều trị u não, một số bệnh lý sọ não và trong đó có u nguyên bào mạch máu não.

Chỉ định xạ phẫu gamma quay u nguyên bào mạch máu não

-          Bệnh nhân được chẩn đoán xác định u nguyên bào mạch máu não bằng cộng hưởng từ hoặc trên chụp mạch kỹ thuật số có tiêm thuốc đối quang.

-          Bệnh nhân không có chỉ định phẫu thuật mở.

-          Bệnh nhân già yếu hoặc trẻ em hoặc người bệnh mắc bệnh nội khoa nặng không có chỉ định phẫu thuật và gây mê.

-          Bệnh nhân từ chối phẫu thuật hoặc các phương pháp khác.

-          kích thước u < 5cm.

-          Được thông qua hội đồng xạ trị có chỉ định xạ phẫu Gamma quay

KẾT QUẢ ĐIỀU TRỊ U NGUYÊN BÀO MẠCH MÁU NÃO BẰNG PHƯƠNG PHÁP XẠ PHẪU DAO GAMMA QUAY TẠI TRUNG TÂM Y HỌC HẠT NHÂN VÀ UNG BƯỚU BỆNH VIỆN BẠCH MAI

Trung tâm Y học hạt nhân và Ung bướu Bệnh viện Bạch Mai từ 7/2007 đến 8/2011 đã điều trị xạ phẫu dao Gamma quay cho 1700 bệnh nhân u não và một số bệnh lý sọ não trong đó có 07 bệnh nhân u nguyên bào mạch máu não. Kết quả cho thấy: tuổi thấp nhất 20 tuổi, cao nhất 56 tuổi, tuổi trung bình: 37,9 ± 18,84, trong đó nam chiếm 14,3%, nữ: 85,7% (biểu đồ 1). Tỷ lệ này khác biệt với một số nghiên cứu của các tác giả nước ngoài do cỡ mẫu của chúng tôi chưa đủ lớn.

Biểu đồ 1: Biểu đồ phân bố theo giới



Bảng 1: Vị trí tổn thương

 

Chúng tôi thấy u nguyên bào mạch máu não trong nghiên cứu hay gặp ở hai bán cầu đại não chiếm: 57,2%, tiếp theo là vùng thân não: 28,5%, tiểu não: 14,3%.

Bảng 2: Biểu hiện lâm sàng khi vào viện

 

           Hầu hết bệnh nhân vào viện vì đau đầu (chiếm 71,4%) và giảm thị lực (57,1%). Trong nghiên cứu này có 1 trường hợp liệt tứ chi do khối u nằm ở vùng thân não, có đến 42,9% trường hợp động kinh. Như vậy tình trạng bệnh nhân đến viện rất đa dạng phù hợp với nhiều vị trí tổn thương, đặc biệt là những vùng nguy hiểm gây nên những triệu chứng thần kinh nặng nề.

Kích thước khối u trước xạ phẫu: Kích thước trung bình: 2,57 ± 0,79 cm, kích thước u lớn nhất là 4cm, kích thước u nhỏ nhất: 2cm. Kết quả này tương tự với kết quả nghiên cứu của Pan L, Wang EM và cộng sự (2005) kích thước u: 13 mm (5- 55mm) và Pan và cs (1998) với kích thước u: 20 (7,5- 55) mm. Kích thước khối u có giá trị quan trọng trong việc điều trị và tiên lượng bệnh.

Bảng 3: Tình trạng bệnh nhân trước xạ phẫu

 
Trong nghiên cứu của chúng tôi hầu hết các bệnh nhân đến viện chưa được điều trị gì trước đó, có 1 trường hợp đã được phẫu thuật 5 lần trước khi nhập viện.

Bảng 4: Liều xạ phẫu

 

           Có 4 trường hợp (57,1%) được chỉ định xạ phẫu liều 14 Gy, kết quả này thấp hơn kết quả một số tác giả nước ngoài, sở dĩ các bệnh nhân này đều có vị trí u nằm ở vùng nguy hiểm như than não và tiểu não và triệu chứng lâm sang lúc vào viện rất nặng nề như: yếu tứ chi, động kinh, suy giảm trí nhớ…Ở nghiên cứu này có 3 trường hợp xạ phẫu liều 18 Gy (chiếm 42,9%), kết quả này cũng tương tự các kết quả của Pan và cs (1998) liều trung bình: 18,4 Gy (12- 24) Gy và theo tác giả Ashok và cs (2010) thì liều xạ phẫu trung bình là: 18,9 (12- 24) Gy, và Masao Tago, Atsuro Terahara và cs (2005): liều xạ phẫu: 18- 20 Gy.

Bảng 5: Biến chứng sau xạ phẫu

 

           Những biến chứng sau xạ phẫu thường nhẹ và đáp ứng với điều trị nội khoa. Đặc biệt dấu hiệu phù não xung quanh thường đáp ứng với điều trị nội khoa chống phù não. Chính vì vậy việc theo dõi, tái khám định kỳ cho bệnh nhân u não sau xạ phẫu là một chỉ định bắt buộc.

Tin liên quan