Vai trò của CT, MRI, PET/CT trong chẩn đoán và lập kế hoạch xạ phẫu ung thư phổi di căn não

Ngày đăng: 18/03/2013 Lượt xem 9072
Vai trò của CT, MRI, PET/CT trong chẩn đoán và lập kế hoạch xạ phẫu ung thư phổi di căn não

                                                            PGS. TS. Mai Trọng Khoa, ThS Phạm Văn Thái

Trung tâm Y học hạt nhân & Ung bướu , Bệnh viện Bạch Mai

           Trong số các loại ung thư thì ung thư phổi là loại u nguyên phát thường gặp nhất. Nhiều nghiên cứu cho thấy có nhiều loại ung thư có thể di căn vào não, trong đó ung thư phổi di căn lên não thường chiếm tỷ lệ cao nhất. Ngoài ra, các loại ung thư khác cũng di căn vào não với tỷ lệ lớn như ung thư vú, ung thư vòm, ung thư đại trực tràng, ung thư dạ dày – thực quản…

            Có nhiều phương pháp để chẩn đoán ung thư phổi và các di căn lên não, trong đó CT, MRI và PET/CT có vai trò rất quan trọng.

1. Chụp cắt lớp vi tính sọ não

Đặc điểm hình ảnh:

+ Vị trí : thường ở vùng ranh giới giữa chất xám và chất trắng.

+ Số lượng: có thể 1 hay nhiều ổ.

+ Tính chất: khối đồng tỷ trọng hay giảm tỷ trọng.

 

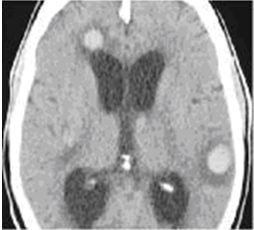
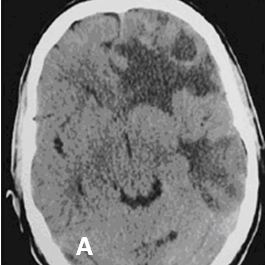
Hình 1. Hình ảnh di căn não đa ổ trước tiêm thuốc (A) và sau tiêm thuốc (B) của bệnh nhân ung thư phổi không phải tế bào nhỏ.

Trước tiêm thuốc: Tổn thương thường là khối đồng hay giảm tỉ trọng. Đôi khi có tỉ trọng cao hơn vùng nhu não liền kề như trong trường hợp chảy máu trong u di căn hoặc lắng đọng canxi.

Sau tiêm thuốc: Tổn thương ngấm thuốc dạng lốm đốm, dạng nốt hay hình vòng.



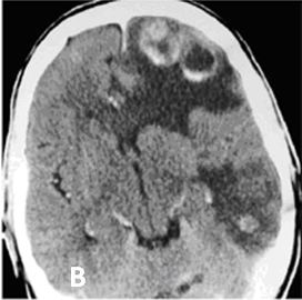
Hình 2. Hình ảnh di căn não đa ổ có chảy máu trong u trên phim CT trước tiêm thuốc của bệnh nhân ung thư phổi không phải tế bào nhỏ


 


 

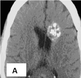
Hình 3. Hình ảnh di căn não đa ổ có lắng đọng canxi trên phim CT trước tiêm thuốc (A) và sau tiêm thuốc (B) của bệnh nhân ung thư dạ dày loại biểu mô tuyến chế nhầy có chảy máu trong u

Sử dụng chất cản quang đường tĩnh mạch làm tăng độ chính xác của chẩn đoán bằng CT. Phần lớn các di căn được phát hiện sau tiêm tĩnh mạch thuốc cản quang với một liều chuẩn (30-40g iodine). Sử dụng liều cao thuốc cản quang (80-85g iodine) và ghi hình muộn sau tiêm 1-3 giờ làm tăng khả năng phát hiện di căn đa ổ. Kỹ thuật này có thể được áp dụng trong trường hợp không thể chụp cộng hưởng từ được.

Abrey và cs, 2001 nhận thấy chụp CT có tiêm thuốc cản quang còn có giá trị trong phát hiện các tổn thương di căn màng não. Biểu hiện: khối đồng tỉ trọng đôi khi là lan tỏa màng cứng trên cửa sổ xương thường có tổn thương xương vòm sọ. Trong ung thư phổi, ung thư vú, ung thư thận, ung thư buồng trứng, có khoảng 5% di căn biểu hiện ở xương vòm sọ. Trong số này, có khoảng 15% tổn thương lan tràn vào màng cứng.

Độ tin cậy

-          CT sọ não có giá trị trong việc đánh giá giai đoạn đối với ung thư phổi. Trong phát hiện di căn não CT có thể đạt được độ nhạy 92%, độ đặc hiệu 99%, độ chính xác 98%.
-          CT có tiêm tiêm thuốc là phương pháp rất có giá trị để phát hiện các di căn xương vòm sọ.
Trong các nghiên cứu so sánh CT tiêm thuốc và MRI tiêm thuốc, có khoảng 20% di căn đơn ổ trên CT nhưng là đa ổ trên MRI. Phần lớn các tổn thương mà CT có tiêm thuốc không phát hiện được là u nhỏ (đường kính < 2cm), vị trí gần xương trong vùng trán-thái dương (Anil và cs, 2008).

2. Chụp cộng hưởng từ

Đặc điểm hình ảnh

-          Tổn thương thường là đa ổ, có dấu hiệu phù não quanh u và hiệu ứng khối.
-          Sau tiêm thuốc đối quang từ: thường là ngấm thuốc dạng vòng (nhẫn), có thể dạng lốm đốm hay đều.
-          Trên T1: tổn thương đồng hay giảm tín hiệu. Có thể tăng tín hiệu trong trường hợp có chảy máu trong u di căn hoặc trong ung thư hắc tố
-          Trên T2: thường tăng tín hiệu


Hình 4. Hình ảnh u di căn não đa ổ dạng đặc, dạng nang và ngấm thuốc dạng vòng trên phim T1 có tiêm thuốc của bệnh nhân ung thư vú


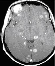
Hình 5. Hình ảnh u di căn não với nhiều tổn thương nhỏ, ngấm thuốc dạng vòng được phát hiện trên T1 có tiêm thuốc của bệnh nhân ung thư phổi




  

 


 



 Hình 6. Hình ảnh u di căn não trên phim cộng hưởng từ T2 (A) và T1 sau tiêm thuốc của bệnh nhân ung thư tử cung. Tổn thương dạng tròn, không ngấm thuốc với tín hiệu dịch, có phù não xung quanh.

Ưu điểm

Chụp MRI sọ não là phương pháp có giá trị cao hơn hẳn chụp CT trong việc phát hiện các tổn thương di căn não. Nó có ưu điểm:

- Có giá trị trong việc phát hiện các tổn thương nhỏ.

- Cung cấp hình ảnh rõ nét hơn khi có tiêm thuốc đối quang từ.

- Không bị nhiễu bởi các hình ảnh của xương.

- Cung cấp hình ảnh theo nhiều bình diện khác nhau: ngang, đứng dọc, đứng ngang

- Giúp cho việc lựa chọn biện pháp điều trị phù hợp nhất: Nếu di căn đa u thì không còn chỉ định phẫu thuật, nếu di căn 1- 3 u, đường kính mỗi u ≤ 3cm thì xạ phẫu bằng dao gamma là biện pháp điều trị thích hợp nhất.

- Là phương pháp đánh giá chính xác hiệu quả của việc điều trị di căn não.

- Do xác định được chính xác số lượng, kích thước tổn thương nên hiện nay chụp MRI là phương pháp chuẩn mực được sử dụng trong việc lập kế hoặc xạ phẫu tổn thương di căn não (Anil và cs, 2008).

3. Chụp PET/CT

Là phương pháp rất có giá trị trong việc phát hiện các tổn thương di căn nói chung, trong đó có di căn não. Pỹ thuật này có nhiều ưu điểm:

  • Tìm u nguyên phát của di căn não
  • Đánh giá giai đoạn bệnh chính xác
  • Đánh giá hiệu quả của việc điều trị
  • Theo dõi, phát hiện tái phát, di căn
  • Hướng dẫn cho việc sinh thiết tổn thương
  • Lập kế hoạch xạ trị
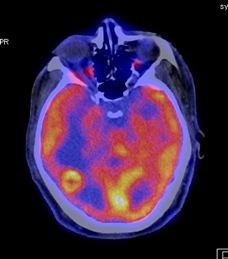
Trong chẩn đoán di căn não, dược chất phóng xạ thường được sử dụng là TC-99m. Trường hợp điển hình: hình ảnh tổn thương tăng hoạt tính phóng xạ.

Theo Virani (2009); Virani (2009) thì độ nhạy của FDG-PET/CT trong việc phát hiện di căn não là 97,8% so với chụp cộng hưởng từ sọ não, có 35,9% bệnh nhân không có triệu chứng thần kinh được phát hiện di căn não bằng FDG-PET/CT.





 Hình 7. Hình ảnh di căn não của bệnh nhân ung thư phổi không phải tế bào nhỏ được phát hiện trên PET/CT tại Trung tâm Y học hạt nhân và ung bướu, Bệnh viện Bạch Mai.

 4. Mô phỏng lập kế hoạch xạ phẫu

            Có thể sử dụng hình ảnh CT để mô phỏng lập kế hoạch xạ phẫu cho dao gamma quay, nhưng tốt nhất là sử dụng hình ảnh MRI sọ não được chụp trên máy cộng hưởng từ mô phỏng 1,5 Tesla có gắn hệ thống định vị laser 3 chiều với khoảng cách giữa các lát cắt 2mm.



Hình 8. Hình ảnh lập kế hoạch xạ phẫu u não di căn trên phim MRI

Tin liên quan