Kết quả bước đầu điều trị đau dây thần kinh số V bằng dao gamma quay

Ngày đăng: 12/03/2013 Lượt xem 7088
Điều trị đau dây V rất nhiều phương pháp: liệu pháp dùng thuốc, phẫu thuật trị liệu và phong bế thần kinh với hai mục tiêu chính là kiểm soát triệu chứng của cơn đau và điều trị nguyên nhân.

PGS. TS. Mai Trọng Khoa, ThS. Đoàn Xuân Trường

Trung tâm y học hạt nhân và Ung bướu-Bệnh viện Bạch Mai

Đau dây thần kinh số V nguyên phát (còn họi là dây thần kinh tam thoa hoặc dây thần kinh sinh ba) (Trigeminal Neuralria) là một trong những nguyên nhân gây đau vùng mặt hay gặp nhất.

Theo định nghĩa của hiệp hội đau đầu quốc tế 2003(The international classification of headache disorders - ICDH), đau dây V là những cơn đau xảy ra ở khu vực chi phối của một hoặc nhiều nhánh của dây thần kinh số V, có tính chất đột ngột, thường xảy ra ở một bên, đau dữ dội, đau nhói, như dao đâm, hay tái phát. Bệnh gây ảnh hưởng nghiêm trọng đến chất lượng cuộc sống của bệnh nhân.

            Điều trị đau dây V rất nhiều phương pháp: liệu pháp dùng thuốc, phẫu thuật trị liệu và phong bế thần kinh với hai mục tiêu chính là kiểm soát triệu chứng của cơn đau và điều trị nguyên nhân.

            Liệu pháp dùng thuốc là lựa chọn đầu tiên: các thuốc chống động kinh có vai trò rất quan trọng, đặc biệt là Phenytoin và Carbamazepine, tiếp theo là các nhóm thuốc kháng động kinh thế hệ mới: Lamotrigine, Oxcacbarmazepine, Gabapentine; phối hợp với nhóm thuốc giãn cơ, thuốc chống trầm cảm. Tuy nhiên sự kháng thuốc hay xảy ra với tỷ lệ cao.

Phương pháp xạ phẫu bằng dao gamma cổ điện và dao gamma quay (Rotating Gamma Knife), Cyber Knife....là phương pháp điều trị ít xâm lấn đã được áp dụng rộng rãi trên thế giới cho kết quả: hết cảm giác đau nhanh, tái phát muộn, ít biến chứng và an toàn.

Xạ phẫu bằng dao gamma, là sử dụng chùm tia bức xạ tập trung bức xạ tập trung chiếu vào gốc ( rễ) dây thần kinh sinh ba trong hố sau thoát ra từ cầu não mà không làm tổn hại các mô xung quanh hoặc mạch máu. Tác dụng của tia Gamma làm gián đoạn các tín hiệu đau lên não.

Chỉ định điều trị đau dây V vô căn bằng GKRS.

Thất bại với điều trị nội khoa

Thất bại với điều trị phẫu thuật hoặc thủ thuật

Phương pháp lựa chọn đầu tiên

Ưu điểm của phẫu thuật dao Gamma (GKRS) so với các phương pháp can thiệp xâm lấn bao gồm:
  • Hiệu quả giảm đau, hết đau nhanh: sau điều trị 1 hoặc vài tuần.
  • Tỷ lệ tái phát cơn đau thấp.
  • Giảm nguy cơ bị liệt mặt hoặc mất cảm giác hoặc viêm giác mạc.
  • Không xâm lấn.
  • Tránh nguy cơ biến chứng nhiễm trùng viêm màng não, tránh xuất huyết dưới nhện.
  • Thời gian điều trị, nằm viện ngắn.
Chi phí điều trị không cao hơn so với các phương pháp can thiệp khác.

Tại Việt Nam, Trung tâm Y học hạt nhân và Ung bướu Bệnh viện Bạch Mai là nơi đầu tiên ứng dụng xạ phẫu dao gamm quay điều trị đau dây V và đã tiến hành nghiên cứu bước đầu đánh giá kết quả điều trị này.

            Kết quả nghiên cứu ở 9 bệnh nhân đau dây thần kinh số V cho thấy bệnh chủ yếu gặp ở nữ, với tỷ lệ nữ/ nam là 8/1.
Tuổi trung bình của bệnh nhân là 65 tuổi, bệnh nhân cao tuổi nhất là 72, trẻ nhất là 27 tuổi.

Theo thống kê của nhiều nghiên cứu trong và ngoài nước cho thấy đau dây thần kinh số V thường xảy ra ở tuổi trung niên và người già (lứa tuổi 40- 80 tuổi). Hiếm gặp ở người trẻ và nữ gặp phổ biến hơn nam giới.

Bảng 1. Tỷ lệ phân bố theo các nhánh đau của dây V:
 
 

Sheehan nghiên cứu trên 136 bệnh nhân cho thấy tỷ lệ đau dây V theo khu vực nhánh V1, V2, V3 tương ứng là 6,9%, 28,4% và 23,3%. Nhiều nghiên cứu khác cũng chỉ ra rằng tổn thương nhánh V1 đơn thuần rất ít gặp chủ yếu là tổn thương nhánh V3 và phối hợp V2 và V3. Các bệnh nhân của chúng tôi gặp ở nhánh V3 là 9/9 (100%).

            Bảng 2. Liều xạ phẫu

 

             Liều xạ phẫu trong điều trị đau dây thần kinh số V nguyên phát còn có nhiều tranh luận. Nhưng có xu hướng liều xạ phẫu cao thường có tỷ lệ kiểm soát đau cũng cao hơn và tốt hơn.

             Phương pháp đánh giá hiệu quả điều trị bằng dao gamma quay là đánh giá giảm đau. Hiện nay trên thế giới sử dụng chủ yếu thang điểm đánh giá đau của Viện thần kinh Barrow: (BNI: Barrow Neurological Institute: Thang điểm đánh giá bậc đau)

            Bảng 3. Đánh giá theo thang điểm BNI sau 16 tháng xạ phẫu bằng dao gamma quay.

 

  Thời gian theo dõi sau xạ phẫu bằng dao gamma quay trên 9 bệnh nhân: thấp nhất là 2 tháng, lâu nhất là 28 tháng, trung bình là 16 tháng.

Sau xạ phẫu từ 2 tuần đến 2 tháng, bệnh nhân đã có cải thiện triệu chứng rõ rệt, biểu hiện giảm cảm giác đau. Có 3 bệnh nhân không phải dùng thuốc hết đau hoàn toàn, còn lại có phải dùng thuốc điều trị nhưng mức độ đau đều giảm hoặc dùng thuốc với liều thấp hơn trước xạ phẫu.

         Xạ phẫu bằng dao gamma quay điều trị đau dây V là phương pháp không xâm lấn, mang lại hiệu quả điều trị cao và an toàn, nâng cao chất lượng sống cho bệnh nhân, đặc biệt là các bệnh nhân lớn tuổi.

 Dưới đây là một trường hợp đau dây thần kinh số V, được điều trị thành công bằng dao gamma quay tại Trung tâm Y học hạt nhân và Ung bướu-Bệnh viện Bạch Mai:

Bệnh nhân Phan Th. Ch. 66 tuổi

Bị đau dây V nhánh hàm dưới (V3) bên phải hơn 6 tháng, đã điều trị nội khoa phối hợp nhiều loại thuốc nhưng không hết cơn đau, hay tái phát và độ đau càng ngày càng tăng, số cơn dày hơn.

Bệnh nhân được xạ phẫu bằng dao gamma quay, tại trung tâm Y học hạt nhân Ung bướu – Bệnh viện Bạch Mai.
Liều xạ phẫu: 30 Gy. Sau 2 tuần, bệnh nhân không còn biểu hiện đau và hiện tại không phải dùng thuốc nữa. Bệnh nhân sinh hoạt và làm việc bình thường


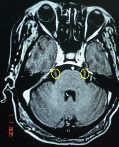
Trên hình ảnh MRI sọ não cắt qua cầu não, xung T1, hình ảnh dây thần kinh số 5( Dây thần kinh sinh ba) hai bên rất rõ



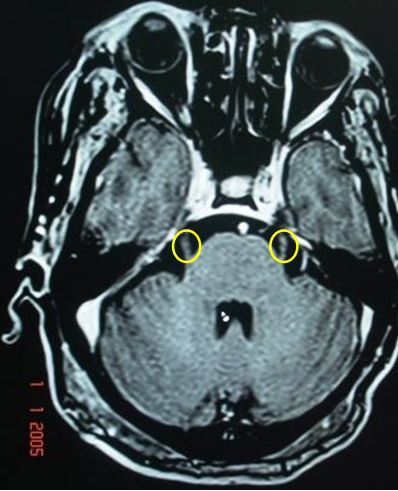
Kế hoạch xạ phẫu Gamma: Đặt 1 shot 4mm vào rễ dây thần kinh số 5 bên phải tại vị dây thần kinh đi vào cầu não. Đường tròn màu vàng là đường đồng liều 50% tương ứng 30 Gy.


Tin liên quan