Một số kỹ thuật xạ phẫu bằng hệ thống dao gamma quay

Ngày đăng: 12/03/2013 Lượt xem 5401
Để tiến hành xạ phẫu cho bệnh nhân bằng hệ thống dao gamma quay, cần phải tuân thủ tất cả các bước của quy trình xạ phẫu, trong đó có một bước rất quan trọng là lập kế hoạch xạ phẫu.

PGS.TS. Mai Trọng Khoa, ThS. Nguyễn Quang Hùng
Trung tâm Y học hạt nhân và Ung bướu, Bệnh viện Bạch Mai

Để tiến hành xạ phẫu cho bệnh nhân bằng hệ thống dao gamma quay, cần phải tuân thủ tất cả các bước của quy trình xạ phẫu, trong đó có một bước rất quan trọng là lập kế hoạch xạ phẫu. Trong quá trình lập kế hoạch xạ phẫu, cần nắm vững các kỹ thuật xạ phẫu. Dưới đây xin mô tả một số kỹ thuật quan trọng với các ví dụ minh họa trên các bệnh nhân u não và một số bệnh lý của sọ não.

Các kỹ thuật ban đầu

Kỹ thuật 1: Đặt shot đầu tiên


Kế hoạch 1


Kế hoạch 2


Kế hoạch 3

Hình 1: Các kế hoạch đặt shot ở mỏm đầu, giữa và cuối của khối u
  • Kế hoạch 1: đặt shot ở mỏm đầu của u
  • Kế hoạch 2: đặt shot ở mỏm cuối của u
  • Kế hoạch 3: đặt shot ở 1/3 giữa u
Bệnh nhân Lã Thị Th., nữ, 54 tuổi, chẩn đoán: Cavernoma tiểu não, chỉ định xạ phẫu dao gamma quay (RGK) liều 20Gy” 

Kỹ thuật 2: Sử dụng nhiều shot

Kỹ thuật 3: Trải rộng shot: giới thiệu việc tái chuẩn hóa
 

Hình 2:     Hình ảnh     A: Đặt 2 shot chồng nhau trên cùng một lát cắt (z bằng nhau)

                                       B: Kéo 2 shot xa nhau trên cùng một lát cắt ( Z bằng nhau)

                               C: Thêm shot trên cùng một lát cắt và thêm shot ở các lát cắt khác nhưng quá gần nhau (z không quá xa), đường đồng liều không thấy lớn hơn.

                                        D: Thêm rất nhiều shot nhưng z không xa, đường đồng liều không lớn hơn mà dường như nhỏ lại.

                                   E: Thêm shot ở các mặt cắt xa nhau và xa tâm khối u (z xa nhau) đường đồng liều lớn hơn và đã phủ kín được thể tích khối u.

Bệnh nhân Bùi văn U., nam, 26 tuổi. Chẩn đoán U tuyến tùng, chỉ định xạ phẫu dao gamma quay (RGK) liều 16Gy”


 
Hình 3: Hình ảnh A, B: đặt shot ở giáp đường biên khối u; C: đặt shot ở xa đường biên khối u

Bệnh nhân Bùi văn U   nam 26 tuổi, chẩn đoán U tuyến tùng, chỉ định xạ phẫu dao gamma quay (RGK) liều 16Gy” 

Kỹ thuật 4: Sử dụng các shot trung tâm

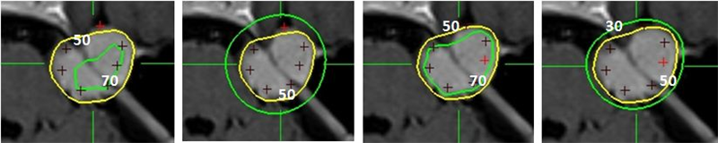
Kỹ thuật 5: Sử dụng tất cả các đường chỉ định liều



Hình 4: Hình ảnh khảo sát các đường đồng liều 30,50,70.

            Bệnh nhân Nguyễn Thị Ng.;   nữ, 52 tuổi, chẩn đoán: U màng não góc cầu tiểu não (T). Chỉ định xạ phẫu dao gamma quay (RGK) liều 18Gy”

  • 50% đường đồng liều xung quanh khối u
  • Thể tích của đường đồng liều 70% của kế hoạch (A) nhỏ hơn kế hoạch (C)
  • Thể tích của đường đồng liều 30% của kế hoạch (B) rộng hơn kế hoạch (D)
Kỹ thuật tạo dạng hình học khối che chắn



Hình 5: Hình ảnh A: Trên một mặt cắt u, đặt shot có kích cỡ collimator 8mm
                                B: Đặt shot có kích cỡ collimator 14mm
                                C: Đặt 2 shot có kích cỡ collimator 8mm và 14mm chồng lên nhau như một shot

Bệnh nhân Lưu Văn Th.; nam, 51 tuổi. Chẩn đoán: U màng não góc cầu tiểu não (P), có chỉ định xạ phẫu dao gamma quay (RGK) liều 20Gy”

Kỹ thuật 7: Ống chuẩn trực ảo lúc điều trị 



Hình 6: Hình ảnh A: 1 phần nhỏ khối u nhô ra khỏi đường đồng liều
                                B: Mở rộng shot 3 với colimator 14mm
                                C: Giảm trọng số của shot 3 nhỏ hơn 1
                                D: Tiếp tục giảm trọng số shot 3, tạo được đường đồng liều che phủ hết khối u

Bệnh nhân Đoàn Văn H.; nam, 62 tuổi. Chẩn đoán: U màng não góc cầu tiểu não (P), chỉ định xạ phẫu dao gamma quay (RGK) liều 20Gy”  

Kỹ thuật 8: Khảo sát lại ống chuẩn trực ảo

Kỹ thuật 9: Tạo vùng cực nhỏ- Chuần hóa lặp lại

 

 Hình 7: Hình ảnh A: Đường đồng liều không che phủ được hết khối u
                                B: Đường đồng liều vượt quá kích thước khối u
                                C: Đường đồng liều che phủ hết thể tích khối u 

Bệnh nhân Trần Văn Th.; nam, 46 tuổi. Chẩn đoán: U dây thần kinh số VIII (P). Chỉ định xạ phẫu dao gamma quay (RGK) liều 14Gy”



Hình 8: Hình ảnh đặt 2 shot có tọa độ sát dần nhau

Bệnh nhân Đoàn V. H.; nam, 62 tuổi. Chẩn đoán: U màng não góc cầu tiểu não (P), chỉ định xạ phẫu dao gamma quay (RGK) liều 20Gy”

Mười kế hoạch trên cho thấy sự xuất hiện đường đồng liều 50% khi 2 shot 8mm được đặt gần kề nhau. Các hình cầu ban đầu hợp lại với nhau tạo thành “hình số 8” rồi dần trở thành một hình tròn đơn do sự tái chuẩn hóa. 

Thủ thuật 10: Hình thành các đường ovan và đường hình chuông: 

 

Hình 9: Hình ảnh tạo đường đồng liều hình quả tạ

Bệnh nhân Nguyễn Đ. V.; nam, 38 tuổi. Chẩn đoán: U màng não góc cầu tiểu não (P). Chỉ định xạ phẫu dao gamma quay (RGK) liều 18Gy

Chú thích: Các ví dụ về các hình elip và quả tạ. (A) Đường đồng liều 50% (vàng) của shot đơn 8 mm. (B) Một shot 8mm thứ hai được đặt gần để tạo ra một đường đồng liều có hình elip. (C) Một hình elip không đồng tâm dạng quả lê có thể được tạo ra nếu shot thứ hai lớn hơn (trong trường hợp này là shot 14 mm). (D) Một shot 8 mm thứ hai được đặt xa hơn shot thứ nhất để tạo ra đường đồng liều hình quả tạ. (E) Một shot thứ hai được đặt xa hơn shot thứ nhất nhằm mục đích tạo ra một “thanh” dài hơn của quả tạ nhưng sự tái chuẩn hóa lại tạo thành hai hình tròn. (F) Một shot nhỏ hơn có trọng số thấp hơn được sử dụng như một “shot tăng cường” để kết nối hai đường đồng liều (shot thứ ba là một shot 4 mm với trọng số 0.33). 

Kỹ thuật 11: Tạo hình ngón tay

 

Hình 10: Hình ảnh phép dựng hình ngón tay. (A) Phần tròn của khối u được bao phủ bởi đường đồng liều 50% (màu vàng). (B) Shot được đặt để bao phủ phần kéo dài hình ngón tay ở một bên. Các đường đồng liều quá rộng (C). Trọng số của shot được giảm xuống nhưng đường đồng liều “ngón tay” vẫn quá rộng ở các đoạn góc của nó. (D) Shot được dịch sang bên để giảm độ rộng của ngón tay. (E) Shot thứ hai được đặt để bao phủ đầu ngón tay. Đường đồng liều quá rộng. (F) Shot được đặt sang bên để giảm độ rộng đầu mút ngón tay. (G) Điều chỉnh nhỏ ở trọng số và vị trí của shot đầu tiên để tăng độ tương thích.
Bệnh nhân Trần Văn Th.; nam, 46 tuổi. Chẩn đoán: U dây thần kinh số VIII(P), chỉ định xạ phẫu dao gamma quay (RGK) liều 14Gy”.

Kỹ thuật 12: đặt trọng số nghịch  
         


Hình 11: Hình (A): Kế hoach được tạo bởi các ống chuẩn trục 4 mm vì thế đường đồng liều 50% (vàng) bao phủ khối u nhỏ có viền. Một viền nhòe hơn được tạo ra nhưng các ống chuẩn trục nhỏ nhất đã được sử dụng. (B) Trọng số của shot được đánh dấu “1” được tăng từ 1.0 lên 1.8, nghịch lý là làm giảm đường viền nhờ quá trình tái chuẩn hóa.

Bệnh nhân Đoàn Văn H.; nam, 62 tuổi. Chẩn đoán: U màng não góc cầu tiểu não (P), chỉ định xạ phẫu dao gamma quay (RGK) liều 20Gy”

Thủ thuật 13: tái chuẩn hóa đối với các đích lớn

Kỹ thuật 14: Kiểm tra lại ống chuẩn trực ảo  
                    
Kỹ thuật đối với các đầu mỏm của khối u  
         
Kỹ thuật 15: bao hết các đầu mỏm

 






Hình 12: Hình (A): Đường đồng liều 50% (vàng) bao quanh khối u hoạt hóa (đỏ) với một đường viền nhỏ trên các mặt phẳng cắt ngang, nhưng khi nhìn dưới mặt phẳng dọc giữa thì thấy hầu như là không còn bờ (các mũi tên) ở cực trên và cực dưới. (B) Kế hoạch này cho thấy sự mở rộng của đường đồng liều điều trị về phía trên và phía dưới của khối u không đảm bảo đường viền phù hợp. Viền ở mặt phẳng dọc giữa thì vẫn nhỏ (các mũi tên). (C) Các đường viền được vẽ trên mặt phẳng cắt ngang có vẻ lớn một cách không thích hợp (các mũi tên) nhưng là cần thiết để đảm bảo bờ ở tất cả các bình diện.

Bệnh nhân Hà Thị S.; nữ, 36 tuổi. Chẩn đoán: Glioma đồi thị (P), chỉ định xạ phẫu dao gamma quay (RGK) liều 16Gy”

 

Hình 13: Mặt phẳng của kế hoạch xạ phẫu thường kết hợp chặt chẽ các đường viền – đó là những khoảng cách nhỏ giữa ranh giới của khối u với đường đồng liều điều trị. Hình vẽ này cho thấy sự so sánh của các đường viền cần thiết trên các lát cắt riêng biệt để tạo ra các đường viền thật sự quanh khối u. Vòng tròn lớn thể hiện lát cắt coronal (mặt phẳng trên) của khối u. Phần đường viền được đánh dấu “Viền mặt phẳng cắt ngang” chỉ ra độ rộng của đường viền có thể được tạo ra ở một lát cắt ngang tại một vị trí đặc hiệu trên đường viền khối u; phần được đánh dấu “Viền thật sự” chỉ ra viền thật sự ở điểm đó – đó là khoảng cách nhỏ nhất của đường đồng liều với khối u ở vị trí đó. Lưu ý là đường viền mặt phẳng cắt ngang lớn hơn đường viền thật sự và sự khác biệt này thường tăng lên đối với các giá trị góc θ lớn hơn – điều đó dành cho các điểm ở gần cực trên của khối u. Các đường ngang ở phía trái chỉ ra các đường viền cần thiết của 6 lát cắt được chỉ định nhằm mục đích tạo ra đường viền thật sự ở lát cắt 1. Các vòng tròn ở phía trái được vẽ để cân bằng và chỉ ra các kích thước tương đối của các lát cắt khối u (các vòng tròn màu đen) và các bờ (các vòng tròn đen) ở 6 lát cắt được chỉ định. Lưu ý là đường viền yêu cầu gần với cực tại lát cắt 6 lớn hơn một cách đáng kể so với dự kiến.



 Hình 14: Hình (A) Lát cắt mặt phẳng dọc giữa của kế hoạch cho thấy đường đồng liều 50% (vàng) không bao phủ cực trên khối u (mũi tên). (B) Shot được thêm vào trung tâm khối u. (C) Giá trị z của shot thêm vào ở B điều chỉnh kế hoạch bao phủ cực trên khối u.

Bệnh nhân Đỗ Đức B.; nam, 52 tuổi. Chẩn đoán: U dây VIII (P). Chỉ định: xạ phẫu dao gamma quay (RGK) liều 14Gy”

Kỹ thuật 16: trọng số của các mỏm khối u

Kỹ thuật về mặt chiến lược

Các nhóm kỹ thuật dưới đây trình bày vài chiến lược có tính quyết định để tạo ra một kế hoạch xạ phẫu tối ưu.

Kỹ thuật 17: chia và chuyển

Kỹ thuật 18: kiểm tra các xung đột giữa các shot

Kỹ thuật 19: dùng tất cả các góc

 

 Hình 15: Hình ảnh sử dụng góc quay Gamma để tối ưu hóa kế hoạch điều trị. (A) Đường đồng liều 50% (vàng) không bao gồm giao thoa thị giác (đường không liền nét). Góc Gamma là 900. (B) Cùng kế hoạch như phần A. Giả thiết là cho liều 20 Gy ở đường đồng liều 50%. 8 Gy ở đường đồng liều 20% (xanh). Kế hoạch này không tốt vì nó cho liều lớn hơn 8 Gy ở giao thoa thị. S biểu thị hình ảnh mặt phẳng dọc giữa và A biểu thị hình ảnh ở mặt phẳng cắt ngang. (C) Góc Gamma đã được chuyển thành 720, nghiêng đường đồng liều 20% do đó giao thoa thị giác nhận liều ít hơn 8 Gy, nên đã cải thiện được kế hoạch. (D) Góc Gamma được chuyển thành 1200, do đó tăng liều ở giao thoa thị lên hơn 8 Gy và tạo ra kế hoach kém hơn. A1: đường đồng liều bao phủ 1 phần vùng giao thoa thị giác; A2: đường đồng liều nằm ngoài vùng giao thoa thị giác; A3: đường đồng liều bao phủ hết vùng giao thoa thị giác.

Bệnh nhân Nguyễn Thị Kim C.; nữ, 31 tuổi. Chẩn đoán: U tuyến yên. Chỉ định: xạ phẫu dao gamma quay (RGK) liều 16Gy”
Kỹ thuật dành cho sự hiển thị      
     
Kỹ thuật 20: So sánh nhanh các kế hoạch xạ phẫu

Kỹ thuật 21: so sánh nhanh các kế hoạch xạ phẫu khác nhau

Kỹ thuật 22: Cách lựa chọn tối ưu các shot

Kỹ thuật 23: tắt, bật

Kỹ thuật 24: tính toán đường thể tích liều DVH          
 


Hình 16: Biểu đồ thể tích liều (DVH) của dao gamma. Đường đứt nét màu xanh có thể bị xô lệch vài điểm trên biểu đồ (màu đỏ) để đạt được liều tương tự tới mỗi đường đồng liều. Trong trường hợp này thể tích tương ứng tới 40% đường đồng liều dường như là 7,1cm3 (mũi tên) 

Kỹ thuật 25: Kiểm tra liều liều tới hạn

 

Hình 17: Hình ảnh đặt đường đồng liều 25% đánh giá liều tới hạn

Bệnh nhân Nguyễn Thị Thanh H.; nữ, 66 tuổi. Chẩn đoán: U màng não xoang hang (T). Chỉ định: xạ phẫu dao gamma quay (RGK) liều 16Gy”

Đường màu vàng chỉ đường đồng liều 50%, hình mũi tên chỉ dây giao thoa thị giác không bị ảnh hưởng bởi đường đồng liều màu xanh 25%

Kỹ thuật vẽ đường bao

Kỹ thuật 26: các đường rìa tối ưu      
     

Hình 18: Hình (A) Các shot 14mm được đặt đối xứng xung quanh khối u để tạo thành một đường đồng liều 50% (vàng) khi băt đầu lập kế hoạch. Điểm trung tâm của mỗi shot được đánh dấu bằng các vòng tròn đỏ. (B) Bởi vì số lượng và sự đối xứng của các shot, một sự thay đổi nhỏ trong vị trí và trọng số cho phép tạo ra một kế hoạch phù hợp.

Hình này minh họa để một số lượng lớn các shot có thể được sử dụng một cách hệ thống nhằm tạo ra sự phù hợp.

Bệnh nhân Lưu Văn Th.; nam, 51 tuổi. Chẩn đoán: U màng não góc cầu tiểu não (P). Chỉ định: xạ phẫu dao gamma quay (RGK) liều 20Gy”           

Kỹ thuật 27: ảnh hưởng theo khoảng cách do sự tái chuẩn hóa

 

Hình 19: Hình (A) Đường đồng liều (vàng) của shot đơn này không bao phủ được khối u và bao gồm cả mô lành. Hình (B) Shot nên được dịch về tâm khối u nhưng lại quá nhỏ để phủ toàn bộ khối u. Thay vào đó, một shot thứ hai được chọn để bao gồm cả mô lành ở phía bên kia của khối u (màu đỏ) nhằm mục đích sử dụng sự tái chuẩn hóa để “kéo” shot đầu tiên về đường giữa và tạo ra độ bao phủ khối u tốt hơn. Hình (C) Kết quả kế hoạch có độ phù hợp tốt.

Bệnh nhân Lưu Văn Th.; nam, 51 tuổi. Chẩn đoán: U màng não góc cầu tiểu não (P), có chỉ định xạ phẫu dao gamma quay (RGK) liều 20Gy”

Kỹ thuật 28: mở rộng và thu hẹp

 

Hình 20: Hình (A) Kế hoạch không bao phủ được cực trước khối u. Hình (B) Shot được đặt để bao phủ cực trước nhưng khối u vẫn không được bao phủ hoàn toàn. Hình (C) Shot được dịch lên phía trước để mở rộng phạm vi bao phủ tốt hơn do sự tái chuẩn hóa.

Kế hoạch đã bao phủ hoàn toàn khối u. Chú ý: Đường không liền nét màu đỏ là vị trí ban đầu của shot.

Bệnh nhân Lưu Văn Th.; nam, 51 tuổi. Chẩn đoán: U màng não góc cầu tiểu não (P). Chỉ định: xạ phẫu dao gamma quay (RGK) liều 20Gy” 

Kỹ thuật đối với trường hợp đa tổn thương      
     
Kỹ thuật 45: thủ thuật đối với đa tổn thương


Hình 21: Hình ảnh đặt kế hoạch điều trị cho 2 tổn thương trong một ma trận

Ma trận tính toán được thể hiện (ma trận màu đỏ được chọn). Các shot có thể chỉ được đặt trong ma trận.

Bệnh nhân Ngô Hữu V.; nam, 60 tuổi. Chẩn đoán: Ung thư phổi di căn tiểu não. Chỉ định xạ phẫu: dao gamma quay (RGK) liều 22Gy” 
Kỹ thuật 46: Trọng số kỹ thuật 

 

Hình 22: Hình ảnh lập kế hoạch cho 2 khối u: Hình (A)Khối u 2 được bao phủ tốt nhưng khối u 1 không nằm trong đường đồng liều điều trị. Hình (B,C) thêm một shot để bao phủ khối u 1 để tạo ra hiệu quả cần thiết:

Bệnh nhân Ngô Hữu V.; nam, 60 tuổi. Chẩn đoán: Ung thư phổi di căn tiểu não, chỉ định: xạ phẫu dao gamma quay (RGK) liều 22Gy”

Kỹ thuật 47: Thực hiện ma trận theo kiểu từ cao xuống thấp

Kỹ thuật 48: Sự phân tách ống chuẩn trực

Kỹ thuật 49: Đề phòng hiệu ứng ma trận

Kỹ thuật chuyển liền bức xạ 

Kỹ thuật 50: Sử dụng ống chuẩn trực lớn

Kỹ thuật 51: Tiết kiệm thời gian với số nhóm ít hơn

Kỹ thuật 52: Tiến hành kế hoạch bên trong kế hoạch xạ phẫu

 

Hình 23: Hình ảnh mô tả kế hoạch bên trong kế hoạch. Hình (A) Chụp cộng hưởng từ bệnh nhân có glioblastoma cho thấy khối u tăng ở thùy thái dương bên trái (mũi tên). Hình (B) hình ảnh này có ý nghĩa quan trọng biểu hiện tổ chức quanh u trên xung FLAIR. Hình (C) xây dựng kế hoạch xạ phẫu gamma vùng xung quanh ngấm thuốc khối u với đường đồng liều 50% (màu vàng), trên xung FLAIR là 38% (màu xanh). Hình (D) Tương tự như kế hoạch C chỉ ra vị trí xuất hiện của 2 shot.

Đường đồng liều 50% được xây dựng với tỷ trọng cao, shot nhỏ, trong khi đường đồng liều 38% có cấu trúc tỷ trọng thấp, shot lớn.

Bệnh nhân Đinh Thị Th.; nữ, 42 tuổi. Chẩn đoán: glioblastoma thùy thái dương. Chỉ định: xạ phẫu dao gamma quay (RGK) liều 20Gy”

Tin liên quan