Điều trị Ung thư biểu mô tế bào gan giai đoạn tiến xa tại Trung tâm Y học hạt nhân và Ung bướu - Bệnh viện Bạch Mai

Ngày đăng: 30/01/2026 Lượt xem 381

Điều trị Ung thư biểu mô tế bào gan giai đoạn tiến xa 
tại Trung tâm Y học hạt nhân và Ung bướu - Bệnh viện Bạch Mai

GS. TS. Mai Trọng Khoa, BSNT. Trần Thị Thúy Ngân, PGS. TS. Phạm Cẩm Phương,
TS. BS. Nguyễn Thanh Hùng, 

Trung tâm Y học hạt nhân và Ung bướu, Bệnh viện Bạch Mai

Ung thư biểu mô tế bào gan (Hepatocellular carcinoma –HCC) là loại ung thư gan nguyên phát thường gặp nhất, chiếm khoảng 75–85% tổng số các trường hợp ung thư gan. Theo số liệu GLOBOCAN 2022, ung thư gan đứng thứ sáu về tỷ lệ mắc và là nguyên nhân tử vong do ung thư đứng thứ ba trên toàn cầu, với hơn 780.000 ca tử vong mỗi năm. Ở Việt Nam, HCC là một trong những ung thư phổ biến hàng đầu, gắn liền với tỷ lệ nhiễm viêm gan virus B và C cao.

Bệnh thường được chẩn đoán ở giai đoạn tiến xa do diễn tiến âm thầm, khi chức năng gan đã bị suy giảm đáng kể hoặc có xâm lấn mạch máu và di căn xa. Theo phân loại BCLC, nhóm bệnh nhân giai đoạn C có tiên lượng xấu, thời gian sống trung vị thường chỉ từ 6–11 tháng nếu không được điều trị đặc hiệu.

Trong thập kỷ qua, sự ra đời của các thuốc điều trị đích– đặc biệt là các chất ức chế tyrosine kinase (TKIs) như sorafenib, lenvatinib, regorafenib, cabozantinib – đã mở ra bước ngoặt trong chiến lược điều trị toàn thân cho HCC giai đoạn tiến xa. Những liệu pháp này giúp ức chế sự tăng sinh và tân sinh mạch của tế bào ung thư, góp phần cải thiện thời gian sống và chất lượng cuộc sống cho người bệnh.

Sau đây, chúng tôi xin giới thiệu một trường hợp lâm sàng bệnh nhân ung thư biểu mô tế bào gan giai đoạn BCLC C được điều trị bằng liệu pháp đích tại Trung tâm Y học hạt nhân và Ung bướu – Bệnh viện Bạch Mai, với đáp ứng lâm sàng và cận lâm sàng đáng ghi nhận.

Họ tên: N.T.Đ, nam, 59 tuổi

Ngày vào viện: 20/02/2025

Lí do vào viện: Đau tức hạ sườn phải

Tiền sử: Viêm gan B phát hiên cách 2 năm, điều trị thường xuyên Tenofovir 300mg x 1 viên/ ngày, không hút thuốc lá, không uống rượu.

Bệnh sử: Bệnh diễn biến trước vào viện 1 tháng, bệnh nhân xuất hiện đau tức âm ỉ vùng hạ sườn phải lan lên thượng vị, không sốt, không vàng da vàng mắt, mệt mỏi, ăn uống kém, gầy sút 3kg/2 tháng, đi khám được chụp phim CLVT ổ bụng phát hiện: Bệnh nhân được nhập viện vào Trung tâm Y học hạt nhân và ung bướu – Bệnh viện Bạch Mai.

Khám lúc vào viện:

- Bệnh nhân tỉnh, tiếp xúc tốt

- Thể trạng trung bình, chiều cao: 1 cm, cân nặng:kg      

- Mạch: 85 lần/phút, Huyết áp: 120/80mmHg

- Đau tức hạ sườn phải âm ỉ liên tục, VAS 4/10 điểm.

- Da niêm mạc hồng, không xuất huyết dưới da. Không phù.

- Hạch ngoại vi không sờ thấy.

- Tim đều, T1, T2 rõ, không có tiếng bất thường

- Phổi: Thông khí đều 2 bên, không rale.

- Bụng mềm, ấn tức hạ sườn phải. Không phản ứng thành bụng, không cảm ứng phúc mạc.

- Cơ quan bộ phận khác chưa phát hiện bất thường.

Các xét nghiệm cận lâm sàng:

- Xét nghiệm: công thức máu, điện giải đồ trong giới hạn bình thường.


- Xét nghiệm vi sinh: HIV(-), HBsAg (+), HCV Ab (-)

- Xét nghiệm chất chỉ điểm u: AFP 444,9 ng/ml (tăng cao)

- Chụp cắt lớp vi tính ổ bụng: 


Hình 1. Hình ảnh khối nốt nhu mô gan hai bên lan tỏa(vòng tròn đỏ) - tính chất HCC, xâm lấn gây huyết khối các nhánh phải và thân chung tĩnh mạch cửa

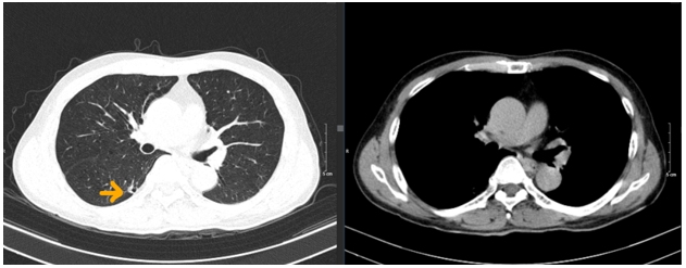
- Chụp cắt lớp vi tính lồng ngực:


Hình 2. Hình ảnh chụp CLVT lồng ngực: nhu mô thùy trên phổi phải có nốt đặc đường kính khoảng 6mm (mũi tên vàng).

- Nội soi dạ dày, đại trực tràng: Giãn tĩnh mạch thực quản độ II – Viêm dạ dày – Viêm hành tá tràng. Nội soi đại tràng bình thường.

Hình 3.

- Siêu âm hạch vùng cổ: Không thấy bất thường.     

Chẩn đoán xác định:

Ung thư biểu mô tế bào gan BCLC C / Viêm gan B mạn tính.

Phác đồ điều trị: Bệnh nhân được hội chẩn Hội đồng Tiêu hóa có chỉ định điều trị liệu pháp toàn thân với thuốc TKIs: Lenvatinib liều 8mg/ngày,uống hang ngày.

Đánh giá hiệu quả điều trị sau 3 tháng: Các triệu chứng lâm sàng được cải thiện rõ: Bệnh nhân ổn định, đỡ đau tức hạ sườn phải, ăn uống được, lao động và sinh hoạt bình thường, tăng cân (2kg/tháng).

Bảng 1. So sánh đặc điểm của bệnh nhân trước và sau điều trị 3 tháng



Hình 4. So sánh kích thước và hình thái khối u trước điều trị (vòng tròn đỏ) và sau điều trị 3 tháng (mũi tên vàng).

Bệnh nhân đạt đáp ứng tốt với điều trị: khối u thu nhỏ kích thước đáng kể, lâm sàng được cải thiện rõ rệt. Trong quá trình điều trị,bệnh nhân có xuất hiện một số tác dụng phụ như: mệt mỏi, hội chứng bàn tay bàn chân mức độ nhẹ. Ngoài ra bệnh nhân không gặp tác dụng phụ khác.

Đánh giá theo tiêu chuẩn mRECIST 1.1, bệnh đáp ứng một phần (PR – Partial Responce). Hiện tại, bệnh nhân tiếp tục được điều trị với lenvatinib liều 8mg/ngày.

Lời kết:

Ung thư biểu mô tế bào gan giai đoạn tiến xa vẫn là một thách thức lớn trong điều trị bệnh, dù đã có nhiều bước tiến trong chẩn đoán và điều trị, tiên lượng của bệnh nhân ở giai đoạn này vẫn còn hạn chế. Việc ứng dụng các liệu pháp điều trị đích, đặc biệt là nhóm thuốc ức chế tyrosine kinase (TKIs) như sorafenib hay lenvatinib, đã mở ra một kỷ nguyên mới trong điều trị toàn thân, giúp cải thiện thời gian sống và kiểm soát bệnh tốt hơn.

Trong tương lai,chiến lược tối ưu hóa phác đồ điều trị kết hợp giữa thuốc đích và liệu pháp miễn dịch, xác định dấu ấn sinh học dự báo đáp ứng, cùng việc cá thể hóa điều trị dựa trên đặc điểm sinh học của khối u và tình trạng chức năng gan, sẽ là trọng tâm nghiên cứu. Đồng thời, chú trọng nâng cao chất lượng sống và quản lý độc tính điều trị cũng là yếu tố then chốt, giúp đảm bảo rằng mỗi tiến bộ y học không chỉ kéo dài sự sống, mà còn mang lại hy vọng và giá trị nhân văn bền vững cho người bệnh ung thư gan.



Tin liên quan