Ca lâm sàng: Chẩn đoán và điều trị bệnh nhân mắc Ung thư biểu mô tế bào nhỏ của buồng trứng tại Trung tâm Y học hạt nhân và Ung bướu – Bệnh viện Bạch Mai

Ngày đăng: 15/11/2024 Lượt xem 924
Ca lâm sàng: Chẩn đoán và điều trị bệnh nhân mắc Ung thư biểu mô tế bào nhỏ của buồng trứng  tại Trung tâm Y học hạt nhân và Ung bướu – Bệnh viện Bạch Mai
GS.TS. Mai Trọng Khoa1,2, PGS.TS. Phạm Cẩm Phương1,2,ThS.BS. Phạm Minh Lanh1,2,  SV.Đinh Thị Mỹ Linh,2 
1Trung tâm Y học hạt nhân và Ung bướu - Bệnh viện Bạch Mai
2Trường Đại học Y dược - Đại học Quốc Gia Hà Nội

      Ung thư buồng trứng là một trong những ung thư phụ khoa hay gặp nhất và cũng là một trong những nguyên nhân gây tử vong nhiều nhất cho nữ giới. Tại Việt Nam ung thư buồng trứng có xu hướng mắc ngày càng tăng. Về mô bệnh học, ung thư biểu mô buồng trứng hay gặp nhất chiếm 80-90%, ung thư tế bào mầm 5-10%, các thể ung thư có nguồn gốc mô đệm sinh dục, ung thư bắt nguồn từ trung mô, và các ung thư di căn đến buồng trứng ít gặp hơn. Ung thư biểu mô tế bào nhỏ của buồng trứng thể tăng canxi (SCCOHT) là một loại khối u ác tính buồng trứng rất hiếm gặp và có liên quan đến tăng canxi huyết ở hai phần ba các trường hợp. SCCOHT chiếm chưa đến 0,01% khối u buồng trứng với tỷ lệ mắc cao nhất ở tuổi trưởng thành trẻ (từ 0 đến 55 tuổi với tuổi trung bình khoảng 24 tuổi).      
Sau đây chúng tôi xin trình bày một trường hợp bệnh nhân trẻ tuổi mắc ung thư biểu mô tế bào nhỏ của buồng trứng thể tăng canxi được điều trị tại Trung tâm Y học hạt nhân và Ung bướu, Bệnh viện Bạch Mai.
I - Hành chính
1. Họ và tên: VŨ H. N.
2. Tuổi: 30
3. Giới tính: Nữ
4. Nghề nghiệp: Tự do
5. Địa chỉ:  Hà Nội
II - Chuyên môn
1. Lý do vào viện: 
Chướng bụng, đau bụng.    
2. Bệnh sử:
Tháng 3/2024, bệnh nhân xuất hiện chướng bụng, đau bụng hố chậu trái, kèm buồn nôn, không nôn, ăn uống kém, đại tiện phân lỏng. Sau 1 tuần, bụng chướng to, các triệu chứng khác không giảm, bệnh nhân được chuyển đến Bệnh viện Bạch Mai để chẩn đoán và điều trị tiếp.
3. Tiền sử: 
3.1. Bản thân:
• Sản khoa: PARA 0000
• Nội khoa: Chưa phát hiện bất thường
3.2. Gia đình: không có ai mắc bệnh ung thư và các bệnh di truyền khác
4. Khám bệnh (24/9/2024)
• Bệnh nhân tỉnh, tiếp xúc tốt
• Thể trạng trung bình: BMI: 29,05 kg/m2 (cân nặng 68 kg, chiều cao 153cm)
• Da, niêm mạc hồng
• Tuyến giáp không to, hạch ngoại vi không sờ thấy
• Tim đều, tiếng T1, T2 rõ
• Bụng mềm, chướng căng, gõ đục, phản ứng thành bụng (-)
• Phổi rì rào phế nang rõ, không rale
• Các cơ quan khác chưa phát hiện bất thường
5. Cận lâm sàng 
- Công thức máu: RBC: 3,87,   HGB: 107,   HCT: 0,325 (Giảm nhẹ so với giá trị bình thường),   WBC: 7,3,  PLT: 256 (trong giới hạn bình thường)
- Hóa sinh máu: Chức năng gan, thận, canxi máu trong giới hạn bình thường
- Chỉ điểm u: CA 125: 196,3 (cao) ,   bhCG: 17,1 (tăng)
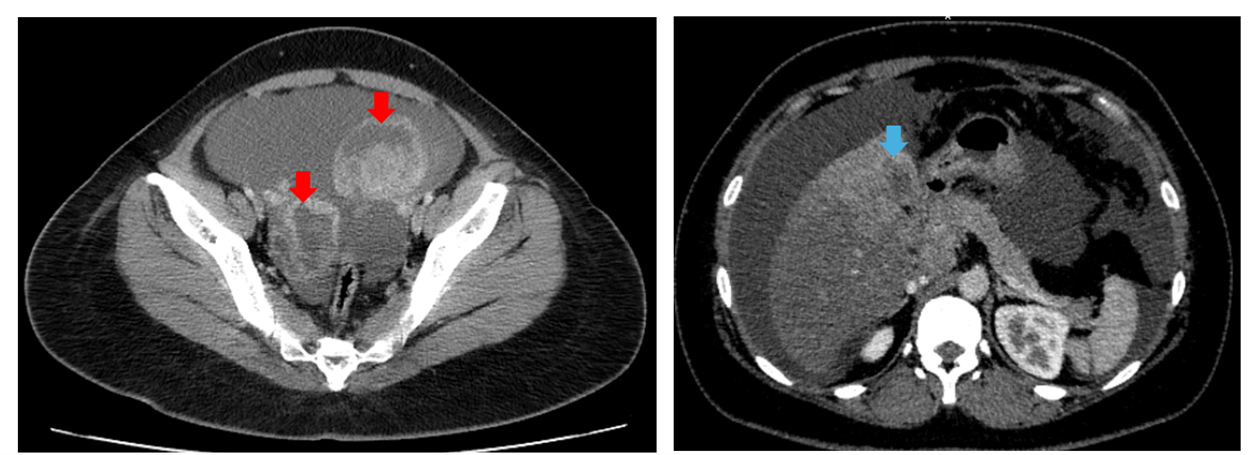
- Chụp cắt lớp vi tính ổ bụng: 5/3/2024: Hình ảnh u buồng trứng hai bên, u gan hạ phân thùy IV theo dõi thứ phát. Nhiều dịch tự do ổ bụng.
 
Hình 1: Chụp CT ổ bụng: Hình ảnh tiểu khung hai bên có cấu trúc hỗn hợp, gồm phần dịch và phần nang, lớn nhất kích thước ~50x70mm (mũi tên đỏ). Nhu mô gan hạ phân thùy IV có khối kích thước 28x33mm, sau tiêm ngấm thuốc vỏ,  theo dõi thứ phát, nhu mô gan lân cận, có nốt đường kính ~5mm, ngấm thuốc thì động mạch (mũi tên xanh)  
- MRI ổ bụng: 15/3/2024: Hình ảnh theo dõi u buồng trứng 2 bên ( ORADS 5). Dày lan tỏa phúc mạc và mạc treo ổ bụng. Nhiều dịch tự do ổ bụng. Nhân xơ đáy tử cung. Vài hạch nhỏ vùng bẹn hai bên. 
 
Hình 2: Chụp cộng hưởng từ tiểu khung: Buồng trứng phải: nang lớn kích thước ~73x89mm, dịch bên trong có tín hiệu khá đồng nhất (mũi tên đỏ). Buồng trứng trái: nang lớn kích thước ~74x55mm, có thành phần đặc bên trong kích thước 67x38mm, ngấm thuốc sau tiêm (mũi tên xanh)
Bệnh nhân được lấy dịch ổ bụng làm cell bloc, kết quả: Không thấy tế bào ác tính
7. Chẩn đoán sơ bộ
Theo dõi Ung thư buồng trứng di căn gan, phúc mạc FIGO IV
8. Điều trị 
Bệnh nhân được phẫu thuật thăm dò xét sinh thiết u hoặc phẫu thuật cắt bỏ khối u. 
Trong quá trình mổ phát hiện: Ổ bụng nhiều dịch tiết, mạc nối lớn đóng bánh nhiều nhân di căn, tổn thương gan hạ phân thùy IV xâm lấn rốn gan, không có khả năng phẫu thuật. Khối u buồng trứng hai bên có nụ sùi, dễ chảy máu, chưa xâm lấn xung quanh.
Sinh thiết tức thì u buồng trứng: U tế bào hạt hoặc ung thư buồng trứng type tế bào nhỏ thể tăng calci
Bệnh nhân được phẫu thuật cắt bỏ khối u tối đa bao gồm phẫu thuật cắt tử cung – 2 phần phụ - mạc nối lớn. 
Giải phẫu bệnh sau mổ: 
Ung thư biểu mô tế bào nhỏ, típ tăng canxi của buồng trứng
Chẩn đoán xác định sau phẫu thuật
Ung thư buồng trứng thể tế bào nhỏ thể tăng canxi FIGO IVB- Di căn gan
Sau phẫu thuật ổn định, bệnh nhân được điều trị hóa chất phác đồ BEP
Theo dõi trong quá trình điều trị:
- Tổng phân tích tế bào máu ngoại vi: 

15/4

24/5

14/6

24/6

1/7

9/7

19/7

15/8

Đơn vị

CSBT

Hồng cầu

3.98↓

3.73↓

2.24↓

3.67↓

3.51↓

3.72↓

3.27↓

3.25↓

T/L

4.0-5.2

Huyết sắc tố

107↓

99↓

62↓

101↓

103↓

107↓

99↓

102↓

g/L

120-155

Bạch cầu

7.3

8.4

2↓

4.54

5.53

34.1↑

3.38↓

6.3

G/L

4-10

Tiểu cầu

349

175

58↓

106↓

119↓

131↓

58↓

169

G/L

150-400


Bệnh nhân xuất hiện độc tính suy tủy sau chu kỳ điều trị thứ 2 với biểu hiện giảm ba dòng máu ngoại vi. Hồi phục sau khi truyền máu, dùng thuốc tăng bạch cầu và tạm ngừng điều trị.
9. Đánh giá đáp ứng sau điều trị: 

Trước phẫu thuật

Sau phẫu thuật

Sau 4 chu kỳ hóa chất

Đơn vị

Giá trị bình thường

CA 125

196,3

97,4

7,7

ng/mL

<35

CEA

23,9

1,0

2,0

ng/mL

<5,0


- MRI ổ bụng: Hình ảnh các nốt ngấm thuốc dạng viền nhu mô gan giảm kích thước so với phim cũ – bệnh đáp ứng một phần. 
  
Hình 4: Cộng hưởng từ ổ bụng: Hình ảnh nhu mô gan có các nốt, lớn nhất kích thước 26x17mm, sau tiêm ngấm thuốc dạng viền ( mũi tên đỏ). 

Lời bàn:
Ung thư tế bào nhỏ của buồng trứng thể tăng canxi là bệnh lý hiếm gặp, các hiểu biết hiện tại đều dựa trên các báo cáo ca bệnh và loạt ca bệnh nhỏ. Bệnh tiên lượng xấu, đáp ứng kém với điều trị, tỷ lệ sống ước tính ở bất kể giai đoạn trong một năm là 50% và tỷ lệ sống năm năm dưới 10%. 
Về điều trị: Thường áp dụng phương pháp điều trị đa mô thức bao gồm phẫu thuật công phá u tối đa, hóa trị nền tảng platin, xạ trị toàn bộ bụng và hóa trị liệu liều cao với ghép tế bào gốc tự thân (HDC ASCT). Các phương pháp điều trị đích, điều trị miễn dịch đang được tiến hành nghiên cứu. 

Tài liệu tham khảo

1. Wens FSPL, Hulsker CCC, Fiocco M, et al. Small Cell Carcinoma of the Ovary, Hypercalcemic Type (SCCOHT): Patient Characteristics, Treatment, and Outcome—A Systematic Review. Cancers. 2023;15(15):3794. doi:10.3390/cancers15153794

Tin liên quan