Nhân một trường hợp ung thư gan điều trị thành công tại Trung tâm Y học hạt nhân và Ung bướu bệnh viện Bạch Mai

Ngày đăng: 05/06/2011 Lượt xem 6092

Gan là cơ quan lớn thứ hai trong cơ thể và nằm bên phải dưới khung xương sườn. Nó nặng khoảng 1,3kg và có hình quả bóng dẹt một mặt...

Gan đảm nhiệm nhiều chức năng quan trọng trong cơ thể. Nó chuyển hoá thức ăn, nước uống thành năng lượng và chất dinh dưỡng cho cơ thể. Gan loại bỏ các độc tố từ máu. Chính vì vậy bệnh lý của gan sẽ ảnh hưởng tới toàn bộ các chức năng của cơ thể.

Ung thư gan (bao gồm cả ung thư nguyên phát và ung thư thứ phát) là một trong số những bệnh ung thư phổ biến nhất. Theo Tổ chức y tế thế giới (WHO) 2003, ung thư gan chiếm hơn 5% tất cả các loại bệnh ung thư. Hằng năm trên toàn thế giới có khoảng 560.000 trường hợp mới mắc với khoảng 15.000 ca ở Mỹ, 250.000 ca ở Trung Quốc. Đây cũng là nguyên nhân gây tử vong do ung thư đứng hàng thứ ba (8,8%) chỉ sau ung thư phổi (17,8%) và ung thư dạ dày (10,4%).

Vị trí và giải phẫu của gan (theo living with cancer)

75% ung thư gan nguyên phát là HCC (Hepatocellular Carcinoma: ung thư biểu mô tế bào gan), với khoảng 80% số bệnh nhân là nam giới. Một phần ba số bệnh nhân này ở Trung Quốc, một phần ba ở Đông Nam Châu Á, phần còn lại rải rác trên toàn thế giới.

Các triệu chứng của ung thư gan ở giai đoạn đầu thường không rõ ràng, chỉ khi bệnh ở giai đoạn muộn các triệu chứng mới rõ ràng và đặc hiệu. Người bệnh thường đi khám vì các triệu chứng như mệt mỏi, chướng bụng, đau tức vùng hạ sườn phải, buồn nôn, cảm thấy đầy bụng, chán ăn, sụt cân, sốt, vàng da…

Để chẩn đoán bệnh ung thư gan cần dựa vào thăm khám lâm sàng, các xét nghiệm cận lâm sàng như: chất chỉ điểm khối u trong máu (AFP: alpha fetoprotein), siêu âm ổ bụng, chụp cắt lớp vi tính (CT), chụp cộng hưởng từ (MRI) ổ bụng, PET/CT, sinh thiết gan...

Điều trị và tiên lượng ung thư gan phụ thuộc vào:

  • Tình trạng chức năng của gan.

  • Kích thước, vị trí và số lượng khối u.

  • Mức độ lan rộng: Tại chỗ, phá vỡ vỏ, di căn.

  • Tuổi và thể trạng chung của người bệnh…

Các phương pháp điều trị ung thư gan:

  • Phẫu thuật cắt bỏ thùy gan tổn thương.
  • Xạ trị.

  • Ghép gan.

  • Đưa vào khối u các thuốc như ethanol, muối đẳng trương nóng, dùng sóng cao tần…

  • Làm tắc mạch qua đường động mạch (TAE).

  • Hóa tắc mạch qua đường động mạch (TACE).

  • Hóa tắc mạch dầu qua catheter (TOCE).

  • Điều trị hóa chất.

  • Dùng các chất gắn phóng xạ:

Lipiodol (I-131/Re-188)

Vi cầu (Hạt bi thủy tinh TheraSpheres) Y-90

SIR-Spheres – Y-90 (Polymerase beads)

Tiên lượng bệnh ung thư nói chung và bệnh ung thư gan nói riêng phụ thuộc vào giai đoạn bệnh và thể trạng của bệnh nhân. Hiện nay, đa số bệnh nhân đến các cơ sở y tế khi bệnh ở giai đoạn muộn và thể trạng suy giảm nhiều nên tiên lượng bệnh không cao.

Sau đây chúng tôi xin giới thiệu một trường hợp ung thư gan nguyên phát điều trị thành công tại Trung tâm Y học hạt nhân và Ung bướu, Bệnh viện Bạch Mai.

Tháng 5 năm 2006, chị Lê T. H., 38 tuổi, tại Hải Phòng, cảm thấy mệt mỏi, chán ăn, gầy sút 2kg/tháng.

Tháng 7 năm 2006, chị được chuyển đến khoa Y học hạt nhân và điều trị ung bướu, (sau này là Trung tâm Y học hạt nhân và Ung bướu) Bệnh viện Bạch Mai.

Qua thăm khám thấy: Bệnh nhân có thể trạng chung tốt, da và niêm mạc hồng.

Gan mấp mé bờ sườn phải, mật độ chắc, ấn đau tức.

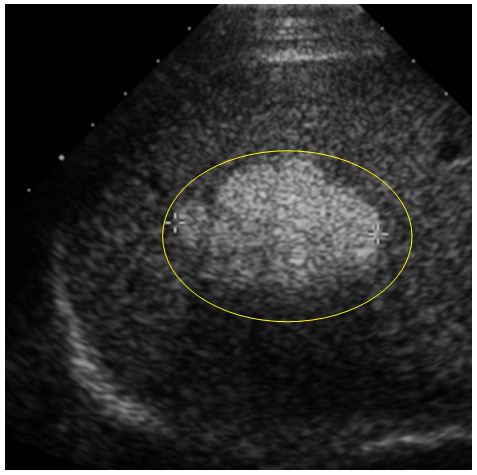
Bệnh nhân đã được chỉ định làm siêu âm ổ bụng. Kết quả siêu âm cho thấy có hình ảnh khối u ở gan phải, kích thước 6,8x7,5 cm, không có dịch ổ bụng, không có huyết khối tĩnh mạch cửa.

Trên hình ảnh chụp cắt lớp vi tính ổ bụng thấy 1 khối tổn thương tại gan phải đường kính 7 cm, không thấy hình ảnh huyết khối tĩnh mạch cửa và không có dịch ổ bụng.

Chất chỉ điểm khối u trong máu : AFP> 7000 ng/ml.

Xét nghiệm công thức máu và chức năng gan: trong giới hạn bình thường.

Chẩn đoán: Ung thư gan nguyên phát (vì AFP cao nên không cần phải sinh thiết gan để chẩn đoán xác định)

Hình ảnh siêu âm: khối tăng âm (trong vòng tròn màu vàng)

Chị H. đã được nút mạch 04 lần và đến tháng 10 năm 2008, chị H. được phẫu thuật cắt bỏ thùy gan có u. Hậu phẫu ổn định, chị H. lại được tiếp tục điều trị hóa chất.

Bệnh nhân được truyền hóa chất sau mổ với phác đồ PIAF 06 đợt. Sau khi kết thúc điều trị hóa chất, chị được định kỳ kiểm tra 2 tháng một lần.

Hiện tại, chị H. đã quay trở lại cuộc sống thường ngày, lên được 2 kg so với khi bị bệnh, xét nghiệm chức năng gan trong giới hạn bình thường, AFP, siêu âm và chụp CT kiểm tra không còn thấy khối u.

Như vậy:

Bệnh ung thư nếu được phát hiện sớm và chẩn đoán đúng giai đoạn bệnh thì việc điều trị và tiên lượng sẽ tốt hơn rất nhiều. Phát hiện bệnh ở giai đoạn sớm thì các phương thức điều trị cũng sẽ ít nặng nề hơn, tác dụng phụ cũng ít hơn mà kết quả điều trị lại cao hơn. Lắng nghe cơ thể của mình để nhận biết những bất thường và coi việc khám sức khỏe định kỳ, sàng lọc sớm ung thư là một thói quen tốt cho sức khỏe.

Một điều quan trọng nữa mà chúng ta cần phải biết đó là kết quả điều trị phụ thuộc rất nhiều vào niềm tin của người bệnh. Đối mặt với bệnh ung thư không đơn thuần chỉ một vài ngày mà đó là một cuộc chiến lâu dài, cần có sự cố gắng, nỗ lực không chỉ của các bác sỹ mà cả người bệnh và gia đình người bệnh.

Điều trị bệnh ung thư phải kết hợp nhiều phương pháp (điều trị đa phương thức). Nếu như chị H. không kiên trì để trải qua tất cả các phương pháp điều trị thì có lẽ kết quả không được tốt đẹp như hiện nay.

Nền y học thế giới và Việt Nam đang phát triển không ngừng. Ngay tại Trung tâm Y học hạt nhân và Ung bướu, bệnh viện Bạch Mai người bệnh đã có thể tiếp cận với những phương pháp chẩn đoán và điều trị hiện đại ngang tầm các nước trong khu vực và thế giới như xạ trị gia tốc điều biến liều (JO-IMRT) dựa trên hình ảnh PET/CT, xạ phẫu bằng dao Gamma quay, điều trị hóa chất theo những phác đồ mới và cập nhật nhất, điều trị dược chất phóng xạ…

PGS.TS Mai Trọng Khoa, ThS.BS. Mai Văn Lạc, BS. Ngô Thùy Trang

Trung tâm Y học hạt nhân & Ung  bướu - Bệnh viện Bạch Mai

Tin liên quan