Bệnh nhân sưng đau khớp bàn - ngón 1 chi dưới 2 bên và được Khoa Cơ xương khớp Bệnh viện Bạch Mai chẩn đoán là bị bệnh Gút (gout) cấp, kết quả chụp phim Xquang phổi phát hiện thấy hình ảnh đám mờ phổi trái.
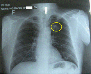
Hình 1: Phim X-quang tim phổi: có đám mờ phổi trái
(trong vòng tròn màu vàng)
Trong gia đình bệnh nhân có em ruột mất vì ung thư đại tràng (2008). Bệnh nhân nhập viện ngày 11/12/2009.
Tại Trung tâm Y học hạt nhân và Ung bướu - Bệnh viện Bạch Mai, khi mới vào viện: bệnh nhân có thể trạng trung bình, cao: 162cm, nặng: 63kg. Sưng, nóng, đỏ các khớp bàn ngón 1 chi dưới 2 bên. Không sờ thấy hạch ngoại vi. Sau đó bệnh nhân được sinh thiết xuyên thành ngực dưới hướng dẫn của CT.
Hình 2: Hình ảnh chụp cắt lớp vi tính (CT) lồng ngực: có khối u phổi trái (trong vòng tròn màu vàng)
Kết quả giải phẫu bệnh: ung thư biểu mô tuyến.
Để chẩn đoán xác định giai đoạn và lập kế hoạch điều trị một cách chính xác hơn, bệnh nhân đã được chỉ định chụp PET/CT (có chỉ định mô phỏng để lập kế hoạch xạ trị).
Hình 3: Hình ảnh chụp PET/CT: có khối u thuỳ trên phổi trái với kích thước 2x3cm,
tăng hấp thu F18-FDG không đều, max SUV=6,89. Hạch thượng đòn trái kích thước 0,6x0,7cm.
Chẩn đoán xác định: Ung thư thuỳ trên phổi trái (ung thư biểu mô tuyến), T2N3Mo (Giai đoạn IIIB trên bênh nhân có đợt cấp gút mạn tính).
Cách thức điều trị: bệnh nhân được quyết định điều trị hóa chất phác đồ DC với liều Docetaxel (Taxotere) 75mg/m 2, truyền tĩnh mạch ngày 1, Carboplatin 300mg/m2, truyền tĩnh mạch ngày 1. Chu kỳ 3 tuần. Đánh giá sau 3 tuần. Bệnh nhân được điều trị hóa chất DC 3 chu kỳ. Đánh giá sau 3 tuần: Chụp PET/CT có đáp ứng tốt trên PET/CT.
Bệnh nhân được tiếp tục xạ trị gia tốc, kỹ thuật điều biến liều (IMRT: Intensity Modulated Radiation Therapy) dựa trên hình ảnh PET/CT mô phỏng: 5 trường chiếu, 40 phân đoạn trường chiếu đạt tổng liều: 66Gy
Đồng thời, bệnh nhân được điều trị Gút theo chuyên khoa cơ xương khớp: Colchicin 1mg (1viên/ngày); Allopurinol 300mg (2viên/ngày).
Kết quả sau 6 tháng: Về triệu chứng lâm sàng: bệnh nhân không ho, không sốt, không đau ngực, sinh hoạt và làm việc bình thường.
Đáp ứng trên hình ảnh PET/CT như sau:
Khối u phổi trước điều trị: SUV=6,89 | Khối u phổi sau điều trị hóa chất 3 đợt: SUV=3,24 | Sau xạ trị và HC 6 đợt: khối u tan biến |
|
|
|
|
| 
|
Trên đây là một trường hợp Ung thư phổi giai đoạn IIIB/ Gout được điều trị thành công tại Trung tâm Y học hạt nhân và Ung bướu. Ung thư phổi là một trong những loại ung thư phổ biến nhất và cũng là nguyên nhân tử vong hàng đầu trên toàn cầu. Theo ghi nhận ung thư Việt Nam năm 2001-2004, ung thư phổi là bệnh ung thư thường gặp nhất ở nam giới, tỷ lệ mắc chuẩn theo tuổi là 29,6/100000 dân. Tiên lượng của bệnh không tốt, tỷ lệ sống thêm 5 năm chỉ khoảng 15%.
Bệnh nhân này có các triệu chứng ở phổi nhưng lý do chính để bệnh nhân vào viện lại là một bệnh khác và bệnh phổi chỉ phát hiện tình cờ khi khám toàn thân cho bệnh nhân. Từ điều này chúng ta nhận thấy tầm quan trọng của việc khám sức khỏe định kỳ và sàng lọc ung thư sớm. Trong hầu hết các trường hợp, việc chẩn đoán và phát hiện sớm bệnh tật có vai trò rất quan trọng, nhất là trong bệnh ung thư. Theo y văn, ung thư phổi, nếu phát hiện và điều trị sớm ngay từ giai đoạn I A thì tỷ lệ sống còn sau 5 năm điều trị có thể trên 30%, trong khi phát hiện và điều trị ở giai đoạn III thì tỷ lệ sống sau 5 năm chỉ khoảng 2-4%. Trung tâm Y học hạt nhân và Ung bướu bệnh viện Bạch Mai cũng đang bước đầu xây dựng thí điểm mô hình khám sức khỏe định kỳ và hy vọng trong tương lai sẽ sớm đưa vào thường quy.
Về vấn đề điều trị bệnh ung thư phổi thì đối với loại mô bệnh học: ung thư biểu mô tuyến được xếp vào nhóm ung thư phổi không tế bào nhỏ thì phương pháp điều trị có thể là phẫu thuật, hóa chất và xạ trị. Nếu chỉ khám trên lâm sàng thì bệnh nhân sẽ được chẩn đoán là N0 (vì không sờ thấy hạch và chụp CT không phát hiện thấy) và có thể đưa ra quyết định phẫu thuật, như vậy thì bệnh nhân vừa phải chịu đựng một cuộc phẫu thuật lồng ngực mà không mang lại ích lợi gì. Kết quả PET/CT góp phần làm thay đổi giai đoạn bệnh và từ đó, quan trọng hơn là định hướng đúng chiến lược điều trị cho bệnh nhân.
Trong xạ trị, việc xác định chính xác đích điều trị là yếu tố quan trọng, quyết định hiệu quả điều trị. Nhờ vào hình ảnh PET/CT mà chúng tôi có thể xác định chính xác tổn thương, thể tích sinh học (Biological Target Volume: BTV) của khối u bên cạnh các thể tích thông thường như GTV, CTV, PTV. Từ đó xác định được liều xạ cao nhất vào khối u đồng thời hạn chế ở mức thấp nhất ảnh hưởng đến các cơ quan quan trọng lân cận xung quanh như tim, phổi lành xung quanh...
Trung tâm Y học hạt nhân và Ung bướu, Bệnh viện Bạch Mai là nơi đầu tiên trong cả nước ứng dụng thành công kỹ thuật xạ trị điều biến liều dựa trên hình ảnh PET/CT mô phỏng cho điều trị một số loại ung thư như ung thư thực quản, ung thư vòm, ung thư phổi,… Hiện nay kỹ thuật này mới chỉ ứng dụng ở các nước phát triển như Hoa Kỳ, Anh, Đức,.. và ở 1 số nước châu Á như: Nhật Bản, Hàn Quốc,…
PGS.TS. Mai Trọng Khoa, Ths. Phạm Văn Thái, BS. Ngô Thùy Trang
Trung Tâm Y học hạt nhân và Ung bướu - Bệnh viện Bạch Mai