Case lâm sàng:
Điều trị miễn dịch kết hợp thuốc kháng tăng sinh mạch cho bệnh nhân ung thư biểu mô tế bào gan tại trung tâm y học hạt nhân và ung bướu - BV Bạch Mai
GS. TS. Mai Trọng Khoa(1)(2), PGS. TS. Phạm Cẩm Phương(1)(2), TS. BS. Nguyễn Thanh Hùng(1), BSNT. Nguyễn Tài Tuệ (2), BSNT. Trần Thị Huệ (2)
1.Trung tâm Y học hạt nhân và Ung bướu, Bệnh viện Bạch Mai
2. Trường Đại học Y dược – Đại học Quốc gia Hà Nội
Ung thư gan là một trong những loại ung thư phổ biến trên thế giới và là ung thư thường gặp tại Việt Nam. Theo Globocan năm 2022, tại Việt Nam tỷ lệ mắc ung thư gan xếp thứ hai 13,6% (sau ung thư vú 13,6%), tỷ lệ tử vong xếp thứ nhất 19,4%. Trong đó, ung thư biểu mô tế bào gan (UTBMTBG) chiếm đa số các trường hợp, đứng đầu về cả tỷ lệ mắc mới và tỷ lệ tử vong.
Việc lựa chọn phương pháp điều trị tối ưu cho UTBMTBG phụ thuộc mật thiết vào giai đoạn bệnh, chức năng gan và thể trạng của bệnh nhân. Nếu như ở giai đoạn khu trú, phẫu thuật và các phương pháp điều trị tại chỗ như nút mạch hóa chất (TACE) hay đốt sóng cao tần (RFA) đóng vai trò chủ đạo, thì ở giai đoạn tiến triển, tiên lượng bệnh thường trở nên rất xấu và các phương pháp can thiệp tại chỗ đơn thuần thường không còn mang lại hiệu quả kiểm soát bệnh lâu dài. Trong vài năm gần đây, các phương pháp điều trị hệ thống mới đã góp phần cải thiện tiên lượng cho bệnh nhân ung thư biểu mô tế bào gan giai đoạn muộn. Đặc biệt, theo hướng dẫn cập nhật mới nhất của NCCN 2025, phác đồ phối hợp giữa thuốc ức chế điểm kiểm soát miễn dịch Atezolizumab và thuốc kháng tăng sinh mạch Bevacizumab là lựa chọn ưu tiên hàng đầu. Bevacizumab không chỉ ức chế sự nuôi dưỡng khối u mà còn giúp tái cấu trúc vi môi trường u, tạo điều kiện thuận lợi để Atezolizumab kích hoạt hệ thống miễn dịch của cơ thể tấn công tế bào ung thư một cách hiệu quả hơn.
Sau đây, chúng tôi xin giới thiệu một ca lâm sàng bệnh nhân Ung thư biểu mô tế bào gan giai đoạn tiến triển được chẩn đoán và điều trị hiệu quả bằng phác đồ phối hợp Atezolizumab + Bevacizumab tại Trung tâm Y học hạt nhân và Ung bướu - Bệnh viện Bạch Mai.
- Họ và tên: N.H.T
- Giới tính: Nam
- Tuổi: 55
- Nghề nghiệp: Tự do
- Địa chỉ: Thành phố Hải Phòng
- Lý do vào viện: đau bụng hạ sườn phải
- Bệnh sử: Cách vào viện 1 tháng, bệnh nhân đau tức bụng vùng hạ sườn phải âm ỉ, không sốt, không nôn, không buồn nôn, không bí trung đại tiện, ăn ngủ kém. Bệnh nhân đi khám tại Bệnh viện Việt Tiệp, chụp CT bụng cho hình ảnh: u gan trái kích thước 30x16mm, xâm lấn vào nhánh tĩnh mạch cửa, vài nốt vệ tinh lân cận và huyết khối nhánh xa tĩnh mạch cửa trái; AFP: 13,5 U/mL => Chuyển đến Trung tâm YHHN & Ung bướu Bệnh viện Bạch Mai.
- Tiền sử:
- Bản thân:
+ Viêm gan B đang điều trị Tenofovir 25mg
+ Không tăng huyết áp, đái tháo đường
- Gia đình: Bố đẻ và con trai mắc ung thư gan
- Bệnh nhân tỉnh, tiếp xúc tốt
- Thể trạng gầy
- Da niêm mạc hồng
- Không phù, không sốt, không xuất huyết dưới da
- Hạch ngoại vi không sờ thấy
- Đau âm ỉ hạ sườn phải VAS: 2đ
- Bụng mềm, không chướng, gan lách không to
- Tim đều, T1, T2 rõ, không có tiếng tim bệnh lý
- Phổi thông khí rõ, không rales
- Tế bào máu: Hồng cầu: 3.75 T/L (giảm nhẹ); HGB: 129 g/l (giảm nhẹ); Bạch cầu: 4.6 G/L (trong giới hạn bình thường); Tiểu cầu: 188 G/L (trong giới hạn bình thường)
- Đông máu cơ bản: PT: 88% (trong giới hạn bình thường); INR: 1.08 (trong giới hạn bình thường)
- Sinh hoá máu: Albumin: 40.3 g/L; AST: 31 U/L; ALT: 23 U/L (trong giới hạn bình thường), Bil toàn phần: 16.8 umol/L (trong giới hạn bình thường)
- Miễn dịch sàng lọc (tuyến dưới):
+ PSA tự do: 0.238ng/mL (trong giới hạn bình thường)
+ Tg: 14.71 ng/mL (trong giới hạn bình thường)
+ CEA: 3.4 ng/mL (trong giới hạn bình thường)
+ CA 19-9: 15.4U/mL (trong giới hạn bình thường)
+ CA 72-4: 5.35U/mL (trong giới hạn bình thường)
+ Cyfra 21-1: 2.69ng/ml (trong giới hạn bình thường)
+ SCC: 0.566 ng/ml (trong giới hạn bình thường)
- Vi Sinh: HCV Ab (-), HIVAg/Ab (-), HbsAg (+)
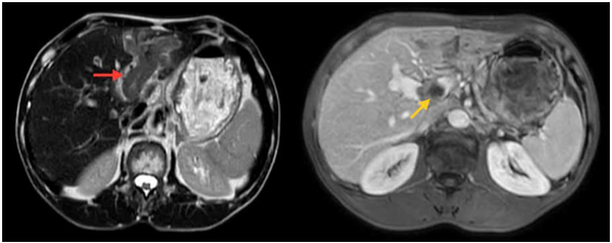
- Cộng hưởng từ ổ bụng:
Hình 1. Hình ảnh chụp cộng hưởng từ ổ bụng
Hình ảnh gan biến đổi hình thái, bờ không đều. Nhu mô gan trái có đám tổn thương sau tiêm ngấm thuốc không đều, tổn thương xâm lấn theo tĩnh mạch cửa nhánh trái vào thân chung gây huyết khối nhánh trái và thân chung tĩnh mạch cửa (mũi tên vàng) tạo đám tổn thương kích thước khoảng 55x77mm (mũi tên đỏ)
- Sinh thiết khối u gan: Ung thư biểu mô tế bào gan
- Bệnh nhân được chẩn đoán xác định: Ung thư biểu mô tế bào gan BCLC C/Viêm gan B
- Sau khi hội chẩn hội đồng chuyên môn, bệnh nhân được điều trị theo phác đồ Atezolizumab – Bevacizumab:
Atezolizumab (Tecentriq): 1200 mg, truyền tĩnh mạch, mỗi 3 tuần(21 ngày/chu kỳ).
Bevacizumab (Avegra Biocad): 700mg, truyền tĩnh mạch, mỗi 3 tuần (21 ngày/chu kỳ).
Sau điều trị 2 chu kỳ, bệnh nhân dung nạp thuốc tốt, các triệu chứng trước điều trị giảm, tác dụng phụ chủ yếu thường gặp là buồn nôn sau truyền. Trên phim cắt lớp vi tính sau 2 tháng điều trị: Hình ảnh gan kích thước bình thường,bờ đều, nhu mô đồng nhất trước và sau tiêm thuốc cản quang. Không thấy khối khu trú. Rốn gan có vài hạch, lớn nhất kích thước 15x11mm. Tĩnh mạch cửa không giãn, đường kính bình thường, huyết khối hoàn toàn nhánh trái tĩnh mạch cửa lan vào 1 phần nhỏ thân chung, sau tiêm ngấm thuốc nhẹ.

Hình 2. Hình ảnh so sánh giữa cộng hưởng từ tháng 10 và cắt lớp vi tính tháng 12
Qua case lâm sàng trên cho thấy hiệu quả của phác đồ Atezolizumab – Bevacizumab trong điều trị ung thư biểu mô tế bào gan BCLC C, đây cũng là phác đồ được ưu tiên lựa chọn cho bệnh nhân ung thư biểu mô tế bào gan khi không còn chỉ định phẫu thuật hay điều trị triệt căn tại chỗ.